Der Feldahorn (Acer campestre) ist Baum des Jahres 2015. Die auch "Maßholder" genannte Baumart weist ein ebenso wertvolles und schönes Holz auf wie seine Schwesternarten Bergahorn und Spitzahorn. Es ist allerdings weniger bekannt, da der Feldahorn selten in stärkeren Abmessungen vorkommt und damit nur beschränkt verwendet wird.
Holzbeschreibung
Der Feldahorn gehört zu den Reifholzbäumen bzw. aus physiologischer Sicht zu den Baumarten mit "hellem Kernholz". Bergahorn und Spitzahorn zählen dagegen zu den Splintholzbäumen (=Baumarten mit verzögerter Kernholzbildung). Entsprechend sind Splint- und Kernholz des Feldahorns farblich kaum voneinander zu unterscheiden.
Acer campestre besitzt ein rötlichweißes bis hellbraunes Holz, das bräunlich nachdunkelt (Abb. 1, Tab. 1). In höherem Baumalter tritt häufig ein graubrauner bis brauner Falschkern auf (fakultative Farbkernbildung), der einem vom Kunsttischler hergestellten Einzelmöbel seine Einmaligkeit bzw. Exklusivität verleiht (Abb. 2). Gedämpft nehmen die Ahornarten eine mehr oder weniger intensive Rotfärbung an.
Untere Stammabschnitte zeigen vielfach einen wimmerigen Verlauf der Holzfaser wie auch einen Maserwuchs in Form deutlich voneinander abgesetzter Maserplatten. Insbesondere das maserwüchsige Holz ist äußerst dekorativ, entsprechend hochgeschätzt und damit als Furnierholz auch hochbezahlt (Abb. 3, Abb. 4).
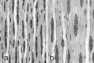
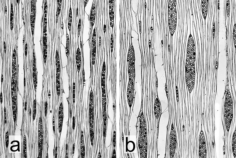
Die Jahrringe des Feldahorns sind durch ein schmales, dunkleres Spätholzband deutlich voneinander abgesetzt. Der Jahrringverlauf zeigt sich häufig mehr oder weniger wellenförmig. Die Gefäße sind zerstreutporig angeordnet, dabei nicht besonders zahlreich. Mit tangentialen Durchmessern kleiner als 100 µm sind die Gefäße recht fein und dadurch auf den Hirnflächen erst unter der Lupe erkennbar (Abb. 5, Abb. 6). Die Gefäße treten auch auf den Längsflächen kaum in Erscheinung, das Holz ist vielmehr von dichter Struktur.
Im Unterschied zu Bergahorn und Spitzahorn weist der Feldahorn deutlich schmälere Holzstrahlen (2- bis 4-reihig) auf (Abb. 7, Tab. 1). Auf den Radialflächen erscheinen die Holzstrahlen als zahlreiche rötlichbraune, glänzende Spiegel, die das Holzbild in charakteristischer Weise beeinflussen. Insgesamt sind die Längsflächen fein gefladert (Tangentialschnitt) bzw. fein gestreift (Radialschnitt). Häufiger kommen mehr oder weniger vereinzelt Markflecken vor, mitunter als Leberflecken bezeichnet. Gehobelt ergibt sich ein schöner seidenartiger Glanz, ein spezieller Geruch fehlt.
Gesamtcharakter
Hellfarbiges, äußerst homogen strukturiertes Laubholz mit zerstreut angeordneten, feinen Poren, deutlichen Jahrringgrenzen und rötlichbraunen Spiegeln; dezent gefladert bzw. gestreift. Untere Stammabschnitte oft wimmerwüchsig und/oder gemasert.
Eigenschaften
Der Feldahorn liefert ein schweres, ausgesprochen hartes und zähes Holz. Mit einer mittleren Rohdichte (rN) von 0,72 g/cm3 ist es signifikant schwerer als das Holz des Bergahorns und des Spitzahorns (Tab. 1). Es zeichnet sich durch hohe Elastizität, Festigkeit und eine sehr gute Abriebfestigkeit aus. Das Holz des Feldahorns schwindet nur mäßig und besitzt ein gutes Stehvermögen, neigt also kaum zum Arbeiten.
Acer campestre lässt sich ohne Probleme sägen, messern und schälen. Das zwar sehr harte Holz lässt sich dennoch mit allen Werkzeugen sowohl von Hand als auch maschinell leicht und sauber bearbeiten. Es ist sehr gut zu profilieren, zu schnitzen und zu drechseln. Gehobelt ergeben sich schöne, gleichmäßig glatte Oberflächen. Holzverbindungen mit Nägeln und nach Vorbohren mit Schrauben sind leicht zu bewerkstelligen und halten gut. Das Holz des Feldahorns lässt sich ohne Schwierigkeiten verkleben. Die Holzoberflächen lassen sich problemlos polieren, besonders gut beizen und einfärben. Auch die Behandlung mit Lacken bereitet keine Schwierigkeiten.
Der Witterung ausgesetzt besitzt Feldahorn nur eine geringe Dauerhaftigkeit gegen holzzerstörende Pilze. Er ist der Dauerhaftigkeitsklasse 5 zuzuordnen. Zudem ist er anfällig gegen holzzerstörende Käfer wie den Gekämmten Nagekäfer und den Gemeinen Nagekäfer.

Abb. 8: Anrichte in handwerklicher Fertigung aus Vollholz des Feldahorns (Foto: R. Kellner)

Abb. 9: Dielenboden aus Feldahorn mit lebhaft rustikalem Charakter (Foto: J. Gruber)
Verwendungsbereiche
Da der Feldahorn nur selten in stärkeren nutzholztauglichen Dimensionen vorkommt, spielt er als Wirtschaftsbaumart eine eher untergeordnete Rolle. Erlauben es die Dimensionen eines Stammes, liefert der Feldahorn ein dekoratives Holz sowohl für allgemeine Tischlerarbeiten als auch für Möbel aus Hand des Kunsttischlers (Abb. 2, Abb. 8). Aus ihm lassen sich sowohl die beliebten Ahorn-Tischplatten für Wirtshaustische als auch lebhaft gezeichnete Fußbodendielen gewinnen (Abb. 9).
Sehr beliebt ist Feldahorn zur Herstellung von Drechsler- und Schnitzarbeiten (Abb. 11). Weil sich sehr glatte und dichte Oberflächen erzielen lassen, ist es auch für Spielwaren bestens geeignet (Abb. 10). Ein weiterer Verwendungsbereich sind Haus- und Küchengeräte (z.B. Löffel, Quirle, Nudelhölzer, Schneid- und Brotzeitbretter). Ferner liefert der Feldahorn ein hervorragendes Holz für Werkzeugstiele, insbesondere für Axtstiele. Hierfür lässt sich auch das Astholz verwenden. Auch Hersteller der englischen Langbögen wissen Feldahorn zu schätzen. Aus geradwüchsigen Stämmchen werden Peitschenstiele geflochten. Schließlich liefert der Feldahorn eine sehr gute Holzkohle und Brennholz mit hohem Heizwert.
Früher wurde Acer campestre unter anderem noch für Maschinenteile, Radkämme, Spielkugeln, Messerhefte, Schuhsohlennägel, Gewehrschäfte und Ladestöcke verwendet. Aus älteren Trieben mit Korkleisten wurden Bilderrähmchen, Pfeifenröhren und Zigarrenspitzen hergestellt.
Maserwüchsige Stammabschnitte werden von der Furnierindustrie hochbezahlt. Die edlen Furniere werden für hochwertige Serienmöbel und den anspruchsvollen Innenausbau verwendet. Ebenso sind sie für Intarsien gesucht. Aus Vollholz werden kostbare Pfeifenköpfe, dekorative Drechsler-, Schnitz- und Kunsttischlerarbeiten hergestellt. Schön gezeichnetes, wimmerwüchsiges Holz kommt im Musikinstrumentenbau zum Einsatz.

Abb. 11: Aus Feldahorn gedrechselte Schalen und Gefäße in unterschiedlicher Gestaltung mit Holzkugeln und einem für Feldahorn typischen Trieb mit Korkleisten (Foto: G. Hornbostel)












