Seit den frühen Arbeiten zur Wertästung aus den 30er und 50er Jahren des letzten Jahrhunderts haben sich wesentliche Änderungen der waldbaulichen Rahmenbedingungen ergeben. Zum einen wird eine zunehmend weitständige Erziehung von Laubbäumen zusammen mit kurzen Produktionszeiten angestrebt. Zum anderen führt die ungleichmäßige Zusammensetzung von Sukzessionen und strukturreichen Verjüngungen zu heterogenen Laubbaumqualitäten und verzögerter Astreinigung. Zugleich wurden auch in der Baumpflege neue Erkenntnisse zur Astreinigung und Barrierebildung an Ästungsschnitten gewonnen und zu praxisreifen Regeln für den Baumschnitt zusammengefasst.
Im forstlichen Bereich gibt es aus neuerer Zeit zwar zahlreiche Auswertungen über die Ästung bei Nadelbaumarten, für die Wertästung der Buche liegen jedoch keine aktuellen Untersuchungen vor. Aus den oben genannten Gründen wurden an der Abteilung Waldwachstum der FVA für diese Baumart die Auswirkungen unterschiedlicher Ästungsqualität auf die Wachstumsreaktion, speziell auf das Auftreten von Verfärbungen untersucht.
Kontroverse Diskussionen
Bisherige Ästungsempfehlungen für Buche sind widersprüchlich. Manche Autoren lehnen wegen der Gefahr von Verfärbungen die Ästung lebender Äste fast kategorisch ab. Andere Autoren dagegen raten eine Grünästung dicht am Stamm, eine Stummelung oder eine Ringelung vorzunehmen. Wegen der schnelleren Überwallung gibt es aber auch die Forderung eine Grünästung mit stammparallelem Schnitt anzuwenden. Und für wieder andere Autoren erscheint die Ästung der Buche als eine zweckmäßige Alternative unter Berücksichtigung der richtigen Schnittführung und mit der Auflage, Äste größerer Astbasisdurchmesser (>3 cm) nicht zu entfernen.
Methodik

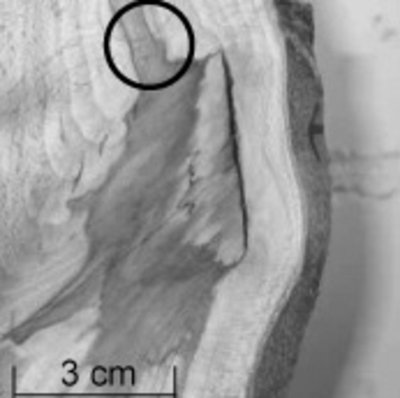
Abb. 1: Beispiel für "Verfärbungen des Holzes im Schaft"
Für die Untersuchung der Abteilung Waldwachstum standen insgesamt 25 Buchen aus Frankreich und Belgien zur Verfügung (149 geästete Äste, 168 Äste aus nat. Astreinigung). Auf den Flächen wurden grundsätzlich nur vorherrschende und herrschende Bäume ausgewählt, die gerade Schäfte, keine Kronen- und Schaftbeschädigungen aufwiesen und vom lokalen Ansprechpartner als geästet gekennzeichnet waren. In die Untersuchung wurden nur vollständig überwallte Äste einbezogen. Der Ästungszeitpunkt lag zwischen 5 und 20 Jahren zurück. Alle Ästungen waren mit einer Stangensäge durchgeführt worden.
Die überwallten Äste wurden längs des Stamms über der Astnarbe aufgetrennt. Damit konnten Verfärbung, Astungsqualität und der Astbasisdurchmesser bestimmt werden. Die Ästungsqualität wurde anhand der früheren Verletzung des Astkragens bestimmt. Zusammenhänge zwischen dem Auftreten einer Verfärbung (ja/ nein) und verschiedenen erklärenden Variablen wurden mittels eines einfachen oder multiplen logistischen Modells untersucht.
Ergebnisse
- Bei Ästen aus natürlicher Astreinigung lag nur in 2,4 % der Fälle eine Verfärbung im Schaft vor. Ein signifikanter Zusammenhang zwischen dem Auftreten dieser Verfärbungen und dem Astbasisdurchmesser konnte nicht nachgewiesen werden.
- Nach Ästung liegt der Anteil von Verfärbungen im Schaft mit 14,1 % deutlich höher. Zugleich wurden bei 23,5 % der Äste Astkragenverletzungen in Folge der Ästung registriert. Diese Astkragenverletzungen traten mit zunehmendem Astbasisdurchmesser signifikant häufiger auf. Dieser Zusammenhang ist auch mit zunehmender Astansatzhöhe nachzuweisen. Die zunehmend häufigere Astkragenverletzung sowohl über den Astbasisdurchmesser als auch über die Astansatzhöhe kann als Hinweis auf die schwierige Positionierung einer Stangensäge in größerer Höhe am Schaft, aber auch als ein Zeichen für die Schwierigkeit gewertet werden vom Boden aus den Verlauf des Astkragens korrekt erkennen zu können.
- Mit zunehmendem Astbasisdurchmesser nimmt die Häufigkeit der Verfärbungen im Stamm zu. Da die Astbasisdurchmesserklassen 45 und 55 mm mit nur je drei Werten belegt ist, bedarf dieser Zusammenhang im höheren Bereich der Astbasisdurchmesser noch weiterer Absicherung (Abbildung 2, oben). Auch die Verletzung des Astkragens hat einen signifikanten Einfluss auf das Auftreten von Verfärbungen. Im Modell führt dies zu einer Verdoppelung der Wahrscheinlichkeit, dass eine Verfärbung im Schaft vorliegt (Abbildung 2, unten).

Abb. 2: Gemessene Häufigkeit (links) und prognostizierte Wahrscheinlichkeit (rechts) des Auftretens von Verfärbungen in Abhängigkeit vom Astbasisdurchmesser (oben) oder Astkragenverletzungen (unten).
Ideale Schnittführung
Verletzungen von Bäumen können Verfärbungen verursachen. Verfärbungen bedeuten dabei nicht gleich Fäulebeginn, sondern sind lediglich ein Hinweis auf eine lokale Abschottung des Baumes. Im Falle von Ästungen für die Wertholzproduktion bedeuten farbliche Veränderungen allerdings eine Wertminderung. Sofern sie auf den inneren (asthaltigen) Kern des Schaftes beschränkt bleiben sind sie jedoch von geringerer Bedeutung für die spätere Verwendung des Stammes.
Aus der Sicht der Baumpflege wird die Positionierung des Ästungsschnittes entsprechend der Ast-Schaft-Anbindung, d.h. unmittelbar vor dem Astkragen und ohne diesen zu verletzen, als entscheidendes Kriterium für eine erfolgreiche Abschottungsreaktion des Baumes gegenüber in den Schaft eindringenden Pathogenen angesehen. Ein Belassen des Stummels führt zu einer Verlängerung der Überwallungsdauer und zu einem größeren, von Pilzen besiedelbarem Holzvolumen.
Ein zu naher Schnitt am Schaft dagegen führt zu einer Verletzung von Schaftholz mit nachfolgender Verfärbung und schlechter Abschottung, leicht erkennbar am nicht geschlossenen Kallusring und der stark ovalen Überwallungsnarbe. Der signifikante Einfluss der Astkragenverletzungen auf das Auftreten von Verfärbungen kann diese Untersuchungen quantitativ untermauern.
Frühere Arbeiten zur Wertästung an Laubbäumen empfehlen üblicherweise stammparallele Ästungen. Die neueren praxisnahen Ästungsempfehlungen berücksichtigen dagegen die Schnittführung entlang des Astkragens (d.h. am Astkragen, ohne diesen jedoch zu verletzen). Hinsichtlich des Astbasisdurchmesser ist nach den Untersuchungen der Abteilung Waldwachstum allerdings keine klare Durchmesserschwelle zu erkennen, ab der Verfärbungen häufiger auftreten. Dennnoch wird Bedeutung des Astdurchmessers deutlich: mit zunehmendem Astbasisdurchmesser steigt die Gefahr der Astkragenverletzung, die wiederum Verfärbungen nach sich ziehen kann.
Fazit
Anhand der geschilderten Ergebnisse können die bisherigen Empfehlungen zur Wertästung der Buche ergänzt werden. Eine generelle Ablehnung der Grünästung an Buche, wie sie früher formuliert wurde, ist kaum angebracht. Für die Wahrscheinlichkeit des Auftretens von Verfärbungen ist vielmehr die Schnittführung und damit die Ästungsqualität von großer Bedeutung. Unsere Ergebnisse zur Rolle von Astkragenverletzungen im Zusammenhang mit Verfärbungen werden von den Erkenntnissen aus Baumpflege und Holzanatomie klar bekräftigt. Der Empfehlung die Äste glatt am Stamm abzuschneiden kann deshalb nicht mehr zugestimmt werden. Der Ästungsschnitt muss vielmehr am Astkragen erfolgen ohne ihn jedoch zu verletzen. Eine Grünästung an Buche kann somit durchgeführt werden, wenn die aus der Baumpflege bekannten und neuerdings auch in den praxisnahen Ästungsempfehlungen betonten Regeln zur Schnittführung berücksichtigt werden.


