
Abb. 1: Ein gesunder Überläufer wie dieser hat die besten Voraussetzungen den Winter gut zu überstehen (Foto: C. Josten).
"Feuer frei auf Frischlinge"- so überschrieb das Hamburger Abendblatt Anfang August 2002 einen Artikel, in dem über den Kampf der Jäger gegen die Schweinepest berichtet wird. Diese Krankheit ist derzeit die beim Schwarzwild wichtigste Seuche, die vor allem deswegen ein Thema ist, weil eine Übertragung der Erreger auf Haustierbestände große wirtschaftliche Verluste verursachen könnte. Darüber hinaus gibt es aber noch eine Reihe weiterer Krankheiten, die auf andere Tierarten oder auch auf den Menschen übertragen werden können.
Symptome der Schweinepest
In Deutschland kommt bei Haus- und Wildschweinbeständen die Europäische Schweinepest vor. Sie wird durch ein Virus verursacht. Infektionsquellen sind Fleischprodukte, Schlacht- und Küchenabfälle. Der Aufnahme infizierten Materials folgt eine fieberhafte Erkrankung, in deren Verlauf vor allem Frischlinge und Überläufer abkommen und verenden. Bei älteren Tieren entwickelt sich eher eine chronische Form. Die Erscheinungen sind vielfältig: Appetitmangel, Abmagerung, Schwäche, Zittern, Bewegungsstörungen, Krämpfe, Durchfall, Nasenbluten, struppiges Haarkleid, bei trächtigen Bachen Früh- oder Totgeburten. Beim Aufbrechen sind an nahezu allen Organen Blutungen (Abb. 4) und blutrote bis rot-schwarze Lymphknoten charakteristisch.
Anzeigepflicht der Schweinepest

Abb. 2: Dagegen zeigen bei dieser Wildschweinrotte im Schaugatter in einer nicht artgerechten Haltung die Jungtiere ein eher kränkliches Aussehen.
Das Auftreten der Seuche ist nach dem Tierseuchengesetz anzeigepflichtig, auch der Verdacht. Stößt ein Jäger in seinem Revier auf ein krankes oder totes Wildschwein und hat er auf Grund von Krankheitserscheinungen oder von Veränderungen an den Organen Verdacht auf Schweinepest, so ist er zur Anzeige beim zuständigen Veterinäramt verpflichtet. Der Amtstierarzt erklärt zunächst das Gebiet um die Abschuss- bzw. Fundstelle zum "Gefährdeten Bezirk" und bestimmt die Bekämpfungsmaßnahmen, wobei er epidemiologische und wildbiologische Erkenntnisse berücksichtigen muss. Er wird auf die Mithilfe und Beratung durch den Jäger zurückgreifen, insbesondere hinsichtlich der jagdlichen Maßnahmen. Es empfiehlt sich ein verstärkter Abschuss in den Randgebieten des gefährdeten Bezirks. Im Zentrum hat Jagdruhe zu herrschen, um einer unkontrollierten Verbreitung der Seuche durch Abwanderung der Sauen vorzubeugen.
Was tun mit Fallwild?
Der Jagdausübungsberechtigte ist verpflichtet, alle im gefährdeten Bezirk tot aufgefundenen Sauen zu kennzeichnen und sie mit einem Begleitschreiben an das zuständige Veterinäruntersuchungsamt zu verbringen. Von erlegten Wildschweinen hat er unverzüglich Proben für Laboruntersuchungen zu entnehmen und mit dem Aufbruch und dem gekennzeichneten Tierkörper zu einer Wildsammelstelle zu bringen. Alle dazu notwendigen Hilfsmittel (Probengefäße, Kennzeichnungsmarken, Begleitscheine) werden vom Veterinäramt zur Verfügung gestellt. Bei Drückjagden im gefährdeten Bezirk erlegte Stücke dürfen nur an einem zentralen Ort aufgebrochen werden. Proben sind zu entnehmen und einzusenden. Jeder Aufbruch ist in einer Tierkörperbeseitigungsanstalt zu entsorgen. Sollten die Untersuchungen auf Schweinepest ein positives Ergebnis haben, ist auch der Tierkörper des betroffenen Tieres unschädlich zu beseitigen. Die Behörde bestimmt zusätzlich zum gefährdeten Bezirk im weiteren Umkreis einen Überwachungsbezirk. Hierin haben die Jagdausübungsberechtigten von 30 % aller erlegten Sauen beim Aufbrechen ebenfalls Proben zu entnehmen und zur Untersuchung einzusenden. Der Aufbruch ist stets unschädlich zu beseitigen. Tot aufgefundene Tiere sind unter Angabe des Fundortes unverzüglich dem Amtstierarzt anzuzeigen. Eine weitere behördliche Maßnahme ist eine Rasteruntersuchung über große Flächen, wie sie in Bayern durchgeführt wird. Hierbei werden Proben aus vier von hundert erlegten Sauen entnommen und auf Schweinepest untersucht.
Versuchsweise wurde in Sauenrevieren in verschiedenen Bundesländern eine Bekämpfung durch das Ausbringen von Impfködern mit dem Ziel einer Schutzimpfung der Wildschweine durchgeführt. Dabei ist sicherzustellen, dass nicht nur die starken Stücke an die Köder kommen, sondern auch die Jungtiere. Eine gleichartige Impfung von Hausschweinen ist verboten.
Sauen sind robust
Der Jäger findet an erlegten Sauen häufig Folgen von Verletzungen. Schon im Frischlingsalter sind Rippenbrüche nicht selten, die durch ältere Tiere in der Rotte verursacht worden sind. Soziale Auseinandersetzungen, gehäuft in der Rauschzeit zwischen rivalisierenden Keilern, können mit erheblichen Verletzungen der Schwarte enden. Häufig sind Verkehrsunfälle Ursache von Knochenbrüchen, aber auch schlecht platzierte Schüsse von ungeübten Schützen bei Bewegungsjagden. Wiederholt wird über Schussverletzungen am Gebrech berichtet, die ein qualvolles Siechtum bis zum Tod durch Verhungern verursachen, wenn das Tier bei der Nachsuche nicht gestellt und erlegt werden kann.
Knochenbrüche verheilen in der Regel mittels Kallusbildungen, die bis zu faustgroß werden können. Die ursprüngliche Struktur stellt sich nicht immer wieder her; so kann man namentlich an den Knochen der Läufe seitlich verschobene und in dieser Stellung verwachsene Bruchenden antreffen. Offene Verletzungen verheilen verzögert oder gar nicht, wenn sie infiziert werden und dadurch einen langwierigen Krankheitsprozess auslösen.
Vor dem Genuss des Wildschweinbratens
Der Jäger ist kraft Gesetzes zu einer gewissenhaften Überprüfung und Beurteilung des Gesundheitszustandes des zu erlegenden Tieres und – nach dem Erlegen beim Aufbrechen – des Tierkörpers und der Organe verpflichtet. Bevor er das Wildbret zum Verzehr freigibt, muss er überprüfen, ob keine Merkmale vorliegen, die eine Verwendung des Wildbrets als Nahrungsmittel bedenklich erscheinen lassen. Der Jäger muss erstens diese "bedenklichen Merkmale" auswendig kennen, und er muss zweitens wissen, wie gesunde Organe aussehen. Normalerweise erfüllen Jungjäger die erste, ältere Jäger eher die zweite Forderung. Wünschenswert wäre, wenn sich Jung und Alt ergänzen würden.
Eine wichtige Frage ist wirtschaftlicher Natur: Bedenkliche Merkmale zwingen zu der Entscheidung, ob ein amtlicher Tierarzt zur Fleischuntersuchung gerufen werden soll oder ob man auf die Verwertung von vornherein nicht besser verzichtet. Denn der Erlös aus dem Verkauf des Wildbrets deckt i.d.R. nicht die Gebühren der Fleischbeschau und der damit verbundenen bakteriologischen Untersuchung. Selbst bei Aussicht auf einen Überschuss muss damit gerechnet werden, dass der amtliche Tierarzt den Tierkörper möglicherweise als untauglich für den Verzehr beurteilen muss und somit dann nur Kosten anfallen.
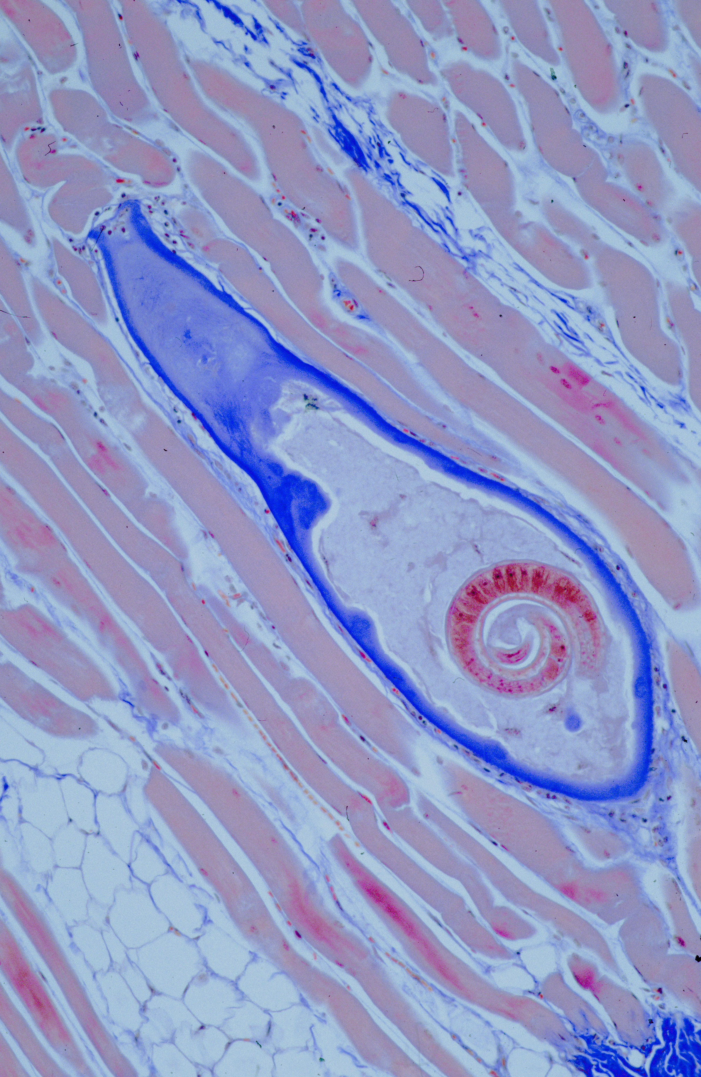
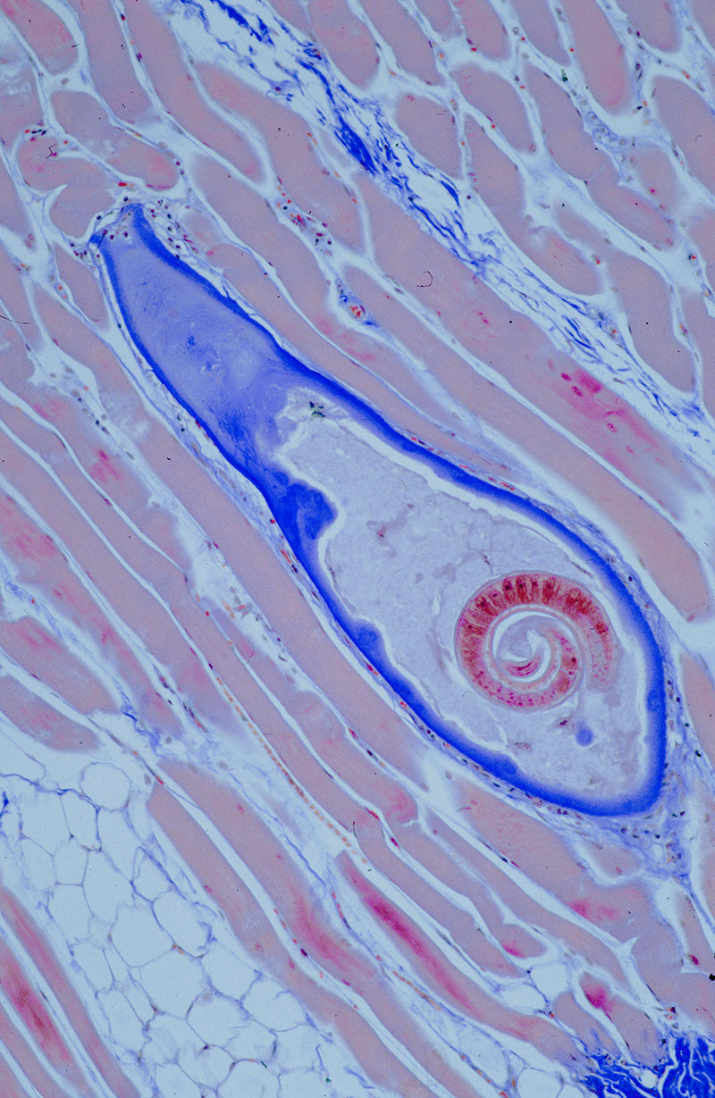
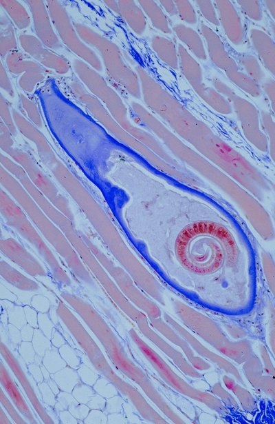
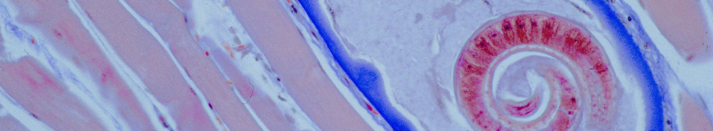
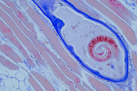
Auch wenn der Jäger keine bedenklichen Merkmale feststellt, muss beim Wildschwein jedes Alters, auch beim Frischling in Spanferkelgröße, eine gebührenbehaftete Untersuchung der Muskulatur auf Trichinen durchgeführt werden. Die Anmeldung dazu kann am Wohnort des Jagdausübungsberechtigten, aber auch in einem anderen Beschaubezirk erfolgen, wohin der Tierkörper verbracht wird. Die Entnahme der Proben aus dem Zwerchfell und vom Vorderlauf ist eine amtliche Handlung und somit vom Untersucher vorzunehmen. Vor Abschluss der Untersuchung und der Beurteilung "trichinenfrei" darf das Wildbret nicht verwertet werden.
Fazit
Wildschweine gelten gemeinhin als sehr widerstandsfähig. Dennoch muss der Jäger stets damit rechnen, auf krankhafte Veränderungen zu stoßen, die ihm Rätsel aufgeben. Dann ist ihm anzuraten, den Tierkörper und die Organe in einem Veterinär-Untersuchungsamt beziehungsweise in einem Universitäts-Institut für Tierpathologie untersuchen zu lassen.





